24時間ネット予約
歯周病チェックシート
歯周病とは?
歯周病の症状
症状別治療法
初診の流れ
予防方法
監修医院紹介
コラム
無料メール相談
プライバシーポリシー
歯周病チェックシート
歯周病とは?
歯周病の症状
症状別治療法
初診の流れ
予防方法
監修医院紹介
福岡市で歯周病治療なら池田歯科大濠クリニックへ-無料メール相談実施中
>
歯周病の症状
歯周病の症状
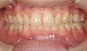
歯周病の主な症状は、下記の図のような症状です。
■健康な歯ぐき
歯と歯の間の歯ぐきはきれいな三角形で、歯ぐきの色は淡いピンク色をしています。
■軽度の歯周病
歯ぐきが少し充血したような赤い色になり、腫れて丸みを帯びてきます。
軽度の歯周病について詳しく見る
■中度の歯周病
骨が溶けて歯ぐきが後退して歯が長くなったように見えます。また、歯がぐらぐらし始め、ものを噛みづらくなってきます。
中度の歯周病について詳しく見る
■重度の歯周病
歯を支える骨の3分の2が失われ、もはやしっかりと噛めません。歯と歯ぐきの間から膿みが出て、口臭も強くなります。
重度の歯周病について詳しく見る
最新のコラム
2017.2.27
学齢期の歯周病について
2017.2.23
幼児の歯周病について
2017.2.20
成人の歯周病について
一覧をみる
最新のコラム
2017.2.27
学齢期の歯周病について
2017.2.23
幼児の歯周病について
2017.2.20
成人の歯周病について
一覧をみる
池田歯科大濠クリニック
facebook
池田歯科大濠クリニック
福岡歯周病治療専門ナビ
〒810-0062
福岡市中央区荒戸2-1-5
大濠公園ビル2F
Tel : 0120-390-666
■歯周病チェックシート
■歯周病とは?
歯周病の原因
歯周病の症状
歯周病のインプラント
歯周病の全身疾患
歯周病の口臭
■初診の流れ
■症状別治療法
軽度の歯周病の症状
中度の歯周病の症状
重度歯周病の症状
■歯周病予防方法
■監修医院紹介
■コラム
■24時間ネット予約
■プライバシーポリシー
Copyright © 池田歯科大濠クリニック All Rights Reserved.
お気軽にご相談ください
お電話はこちらから
ホームページを見たとお伝え下さい
WEBお問い合わせ